Skip to content Skip to sidebar Skip to footer

Myelodysplastic Syndrome Bone Marrow Findings

Peripheral Blood And Bone Marrow Findings In Myelodysplastic Syndrome Download Table

Peripheral Blood And Bone Marrow Findings In Myelodysplastic Syndrome Download Table

Myelodysplastic syndrome bone marrow findings. Unilineage marrow dysplasia with pancytopenia OR. Symptoms are referable to the specific cell line most affected and may include fatigue weakness pallor secondary to anemia increased infections and fever secondary to. We retrospectively analyzed a cohort of 216 MDS patients to explore the prognostic value of the percentage of mature monocyte in bone marrow.

What happens in myelodysplastic syndrome is that of those abnormal cells that are proliferating quickly are dying within the bone marrow before they get. Hematologic and cytogenetic data were collected on 401 myelodysplastic syndromes MDS patients in Japan and their clinical relevance was analyzed. The myelodysplastic syndrome MDS is group of disorders typified by peripheral cytopenia dysplastic hematopoietic progenitors a hypercellular or hypocellular bone marrow and a high risk of conversion to acute myeloid leukemia.

Forty bone-marrow trephine biopsies of patients with myelodysplastic syndromes MDS were studied and compared with bone marrow smears. The subtype is determined using the results of blood and bone marrow tests. Learn about these tests and how MDS is diagnosed MDS subtype is determined using either the World Health Organization WHO classification system or the French-American-British FAB classification system but the WHO classification is more commonly used today.

Low white blood cell levels may lead to infections. Features of abnormal erythropoiesis and myelopoiesis although different from those observed in smears were easily detectable. Platelet levels may also be low which can cause bleeding and bruising.

Iron stores often increased Disordered dysplastic differentiation affecting all 3 lineages Myelofibrosis in therapy related MDS. Abnormalities in this test provide the first sign of the disease. The presence of progressive cytopenias despite cellular bone marrows and dyspoiesis in one or more cell lines.

Myelodysplastic syndromes MDS is a group of heterogeneous myeloid clonal diseases originating from hematopoietic stem cells. The myelodysplastic syndrome MDS is group of disorders typified by peripheral cytopenia dysplastic hematopoietic progenitors a hypercellular or hypocellular bone marrow and a high risk of conversion to acute myeloid leukemia. It proved possible to make the diagnosis of MDS on the basis of bone-marrow biopsies.

. More than 50 of the MDS patients with hypocellular bone marrow had 5 marrow blasts at the time of MDS diagnosis and frequently had complex aberrations chromosome changes at three or more regions.

Myelodysplastic Syndrome With Isolated Del 5q A B Bone Marrow Download Scientific Diagram

Myelodysplastic Syndrome With Isolated Del 5q A B Bone Marrow Download Scientific Diagram

Bone Marrow Fibrosis In Patients With Primary Myelodysplastic Syndromes Has Prognostic Value Using Current Therapies And New Risk Stratification Systems Modern Pathology

Bone Marrow Fibrosis In Patients With Primary Myelodysplastic Syndromes Has Prognostic Value Using Current Therapies And New Risk Stratification Systems Modern Pathology

Myelodysplastic Syndromes With Bone Marrow Fibrosis Haematologica

Myelodysplastic Syndromes With Bone Marrow Fibrosis Haematologica

Diagnosis And Classification Of Myelodysplastic Syndrome Intechopen

Diagnosis And Classification Of Myelodysplastic Syndrome Intechopen

Figure1 Bone Marrow Findings At The Diagnosis Of Myelodysplastic Download Scientific Diagram

Figure1 Bone Marrow Findings At The Diagnosis Of Myelodysplastic Download Scientific Diagram

Patient Education Myelodysplastic Syndrome Mds Melbourne Blood Specialists

Patient Education Myelodysplastic Syndrome Mds Melbourne Blood Specialists

Efficacy Of Lenalidomide In Myelodysplastic Syndromes Nejm

Efficacy Of Lenalidomide In Myelodysplastic Syndromes Nejm

Histopathology Images Of Refractory Cytopenia With Multilineage Dysplasia Rcmd By Pathpedia Com Pathology E Atlas

Histopathology Images Of Refractory Cytopenia With Multilineage Dysplasia Rcmd By Pathpedia Com Pathology E Atlas

Bone Marrow Findings Showing Both Features Of Plasma Cell Myeloma And Download Scientific Diagram

Bone Marrow Findings Showing Both Features Of Plasma Cell Myeloma And Download Scientific Diagram

Myelodysplastic Syndrome Mds With Isolated 5q Deletion 5q Syndrome Report Of Two Cases With Review Of Literature World Journal Of Pathology

Myelodysplastic Syndrome Mds With Isolated 5q Deletion 5q Syndrome Report Of Two Cases With Review Of Literature World Journal Of Pathology

Cureus Thrombotic Thrombocytopenic Purpura Associated With Myelodysplastic Syndrome

Cureus Thrombotic Thrombocytopenic Purpura Associated With Myelodysplastic Syndrome

2

2

Peripheral Blood And Bone Marrow Findings In Myelodysplastic Syndrome Download Table

Peripheral Blood And Bone Marrow Findings In Myelodysplastic Syndrome Download Table

Myelodysplastic Syndrome According To Who 2016

Myelodysplastic Syndrome According To Who 2016

Myelodysplastic Syndrome Ask Hematologist Understand Hematology

Myelodysplastic Syndrome Ask Hematologist Understand Hematology

Cpc Case Study

Cpc Case Study

Myelodysplastic Syndrome Myelodysplastic Syndrome Associated With Isolated Del 5q Chromosome Abnormality 5q Syndrome 5

Myelodysplastic Syndrome Myelodysplastic Syndrome Associated With Isolated Del 5q Chromosome Abnormality 5q Syndrome 5

Disorders Mimicking Myelodysplastic Syndrome And Difficulties In Its Diagnosis Intechopen

Disorders Mimicking Myelodysplastic Syndrome And Difficulties In Its Diagnosis Intechopen

Myelodysplastic Syndrome According To Who 2016

Myelodysplastic Syndrome According To Who 2016

Myelodysplastic Syndrome Md Anderson Cancer Center

Myelodysplastic Syndrome Md Anderson Cancer Center

Myelodysplastic Syndrome Wikipedia

Myelodysplastic Syndrome Wikipedia

Histopathology Images Of Refractory Anemia Ra By Pathpedia Com Pathology E Atlas

Histopathology Images Of Refractory Anemia Ra By Pathpedia Com Pathology E Atlas

Myelodysplastic Syndromes Mds Springerlink

Myelodysplastic Syndromes Mds Springerlink

Https Encrypted Tbn0 Gstatic Com Images Q Tbn And9gctpmkknw62qz2njggtsd8m8owosgkwl9kp Dp N1 Mpkn5zii 3 Usqp Cau

Https Encrypted Tbn0 Gstatic Com Images Q Tbn And9gctpmkknw62qz2njggtsd8m8owosgkwl9kp Dp N1 Mpkn5zii 3 Usqp Cau

Who Classification For Mds 5 Peripheral Blood And Bone Marrow Download Table

Who Classification For Mds 5 Peripheral Blood And Bone Marrow Download Table

What Are Myelodysplastic Syndromes

What Are Myelodysplastic Syndromes

5q Syndrome An Overview Sciencedirect Topics

5q Syndrome An Overview Sciencedirect Topics

Myelodysplastic Syndromes Basicmedical Key

Myelodysplastic Syndromes Basicmedical Key

Myelodysplastic Syndrome With Excess Blasts And Fibrosis

Myelodysplastic Syndrome With Excess Blasts And Fibrosis

Cancers Free Full Text Hypoplastic Myelodysplastic Syndromes Just An Overlap Syndrome

Cancers Free Full Text Hypoplastic Myelodysplastic Syndromes Just An Overlap Syndrome

Myelodysplastic Syndromes Treatment Pdq Patient Version National Cancer Institute

Myelodysplastic Syndromes Treatment Pdq Patient Version National Cancer Institute

5q Syndrome An Overview Sciencedirect Topics

5q Syndrome An Overview Sciencedirect Topics

Frontiers Severe Eosinophilia In Myelodysplastic Syndrome With A Defined And Rare Cytogenetic Abnormality Immunology

Frontiers Severe Eosinophilia In Myelodysplastic Syndrome With A Defined And Rare Cytogenetic Abnormality Immunology

Pdf Hematopathological Concepts And Controversies In The Diagnosis And Classification Of Myelodysplastic Syndromes Semantic Scholar

Pdf Hematopathological Concepts And Controversies In The Diagnosis And Classification Of Myelodysplastic Syndromes Semantic Scholar

Myelodysplastic Syndromes Basicmedical Key

Myelodysplastic Syndromes Basicmedical Key

Myelodysplastic Myeloproliferative Neoplasm With Ring Sideroblasts And Thrombocytosis Mds Mpn Rs T

Myelodysplastic Myeloproliferative Neoplasm With Ring Sideroblasts And Thrombocytosis Mds Mpn Rs T

Disorders Mimicking Myelodysplastic Syndrome And Difficulties In Its Diagnosis Intechopen

Disorders Mimicking Myelodysplastic Syndrome And Difficulties In Its Diagnosis Intechopen

Myelodysplastic Syndromes The Lancet

Myelodysplastic Syndromes The Lancet

What Is Myelodysplastic Syndrome Mds Causes Symptoms Treatment

What Is Myelodysplastic Syndrome Mds Causes Symptoms Treatment

Refractory Anemia An Overview Sciencedirect Topics

Refractory Anemia An Overview Sciencedirect Topics

Myelodysplastic Syndromes 15 11 2013

Myelodysplastic Syndromes 15 11 2013

Bone Marrow Fibrosis In Myelofibrosis Pathogenesis Prognosis And Targeted Strategies Haematologica

Bone Marrow Fibrosis In Myelofibrosis Pathogenesis Prognosis And Targeted Strategies Haematologica

Evolving Myelodysplastic Syndrome In An Hiv Patient With History Of Anal Cancer And Chemotherapy Springerlink

Evolving Myelodysplastic Syndrome In An Hiv Patient With History Of Anal Cancer And Chemotherapy Springerlink

Bone Marrow Chapter 12 Silverberg S Principles And Practice Of Surgical Pathology And Cytopathology

Bone Marrow Chapter 12 Silverberg S Principles And Practice Of Surgical Pathology And Cytopathology

A Case Of Subacute Onset Myelodysplastic Syndrome With Infection Mimicking Thrombotic Thrombocytopenic Purpura A Case Report With Literature Review Renal Replacement Therapy Full Text

A Case Of Subacute Onset Myelodysplastic Syndrome With Infection Mimicking Thrombotic Thrombocytopenic Purpura A Case Report With Literature Review Renal Replacement Therapy Full Text

Myelodysplastic Syndromes Ppt Video Online Download

Myelodysplastic Syndromes Ppt Video Online Download

Myelodysplastic Syndrome The Other Cause Of Anemia In End Stage Renal Disease Patients Undergoing Dialysis Scientific Reports

Myelodysplastic Syndrome The Other Cause Of Anemia In End Stage Renal Disease Patients Undergoing Dialysis Scientific Reports

18 F Flt Pet Mri For Bone Marrow Failure Syndrome Initial Experience Ejnmmi Research Full Text

18 F Flt Pet Mri For Bone Marrow Failure Syndrome Initial Experience Ejnmmi Research Full Text

Https Encrypted Tbn0 Gstatic Com Images Q Tbn And9gctrzxzpgtzo4e2hajnpvg7qktics Bfz6u7ypyn M A497eyt78 Usqp Cau

Https Encrypted Tbn0 Gstatic Com Images Q Tbn And9gctrzxzpgtzo4e2hajnpvg7qktics Bfz6u7ypyn M A497eyt78 Usqp Cau

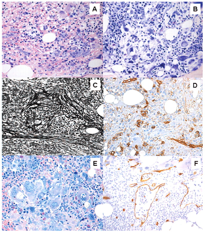
Forty bone-marrow trephine biopsies of patients with myelodysplastic syndromes MDS were studied and compared with bone marrow smears.

We retrospectively analyzed a cohort of 216 MDS patients to explore the prognostic value of the percentage of mature monocyte in bone marrow. Platelet levels may also be low which can cause bleeding and bruising. More than 50 of the MDS patients with hypocellular bone marrow had 5 marrow blasts at the time of MDS diagnosis and frequently had complex aberrations chromosome changes at three or more regions. Persistent cytopenia s with any of the following. Myelodysplastic syndromes MDS are a heterogeneous group of clonal hematological conditions affecting the hematopoietic stem cells in the bone marrow associated with ineffective hematopoiesis and manifesting as peripheral cytopenias and morphologic dysplasia in hematopoietic elements with less than 20 blasts in blood or bone marrow. Low white blood cell levels may lead to infections. Two morphologic findings are common to all types of MDS however. Myelodysplastic syndromes MDS is a group of heterogeneous myeloid clonal diseases originating from hematopoietic stem cells. Abnormalities in this test provide the first sign of the disease.


Symptoms are referable to the specific cell line most affected and may include fatigue weakness pallor secondary to anemia increased infections and fever secondary to. Usually hypercellular or normocellular 10 are hypocellular. More than 50 of the MDS patients with hypocellular bone marrow had 5 marrow blasts at the time of MDS diagnosis and frequently had complex aberrations chromosome changes at three or more regions. We retrospectively analyzed a cohort of 216 MDS patients to explore the prognostic value of the percentage of mature monocyte in bone marrow. Iron stores often increased Disordered dysplastic differentiation affecting all 3 lineages Myelofibrosis in therapy related MDS. Several cylindrical confronting cisternae CCC were present in macrophages and an endothelial cell. Clinically elevated mature monocyte in bone marrow is often observed but its clinical value still remains unclear.

Post a Comment for "Myelodysplastic Syndrome Bone Marrow Findings"